Cabinet dentaire des docteurs Kieffer et Taheraly
Chirurgiens-Dentistes à Foulayronnes - 47
Accueil
Le cabinet
Plan d'accès
Urgence
Fiches Conseils
Contactez nous
Questionnaire pré-RDV
Accueil
Le cabinet
Plan d'accès
Urgence
Fiches Conseils
Contactez nous
Questionnaire pré-RDV
Cabinet dentaire des docteurs Kieffer et Taheraly
123 route royale
47510
Foulayronnes
Chirurgiens-Dentistes à Foulayronnes - 47
+33 5 53 98 02 08
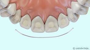
Fil de contention
Vidéos 3D
Partager
Twitter
Partager
Partager
Envoyer
Copier
Cabinet dentaire des docteurs Kieffer et Taheraly
123 route royale
47510
Foulayronnes
+33553494258
Politique de confidentialité et charte cookie
Mentions légales
Conditions Générales Utilisation
Charte déontologique
Ordre national
Annuaires chirurgiens dentistes
Hygiène & Asepsie
Honoraire & rembousement
Création par
Connexion